Длительные космические полёты оказывают серьезное воздействие на организм астронавтов: от атрофии мышц и истончения костей до изменений в распределении жидкостей. Теперь к этому списку добавились и изменения формы мозга, вызванные микрогравитацией. К такому выводу пришли учёные из Университета Флориды.
На Земле гравитация удерживает мозг на месте, а спинномозговая жидкость выполняет роль амортизатора. В условиях микрогравитации мозг смещается вверх, однако новое исследование показало, что он также подвергается растяжению и сжатию в различных областях.
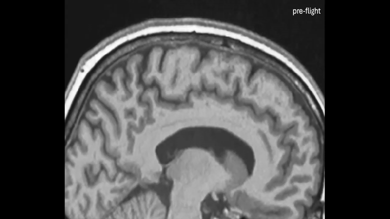
Авторы работы проанализировали данные МРТ 26 астронавтов, сделанные до и после их миссий на МКС. Результаты сравнили с данными 24 добровольцев, участвовавших в эксперименте с длительным (60 дней) пребыванием в положении с наклоном головы вниз на 6 градусов, имитирующем воздействие невесомости на распределение жидкостей в организме.
Учёные обнаружили существенные различия между мозгом астронавтов и добровольцев. У астронавтов мозг смещался вверх сильнее, и эти изменения становились более выраженными с увеличением продолжительности пребывания в космосе. Так, у астронавтов, находившихся на МКС в течение года, моторная кора (участвующая в контроле движений) сместилась вверх примерно на 2,5 миллиметра.
Кроме того, изменения происходят неравномерно: в верхней и задней частях мозг сжимается, а в других областях — растягивается. Это оказывает заметное влияние на баланс и координацию. Тесты показали, что астронавтам с наибольшим смещением мозга было сложнее всего сохранять устойчивость после возвращения на Землю.
Авторы работы подчёркивают важность понимания этих изменений для обеспечения безопасности будущих космических миссий: «Мы продемонстрировали комплексные изменения положения мозга внутри черепной коробки после космического полёта. Эти результаты имеют важное значение для понимания влияния космического полета на мозг и поведение человека».
Хотя мозг в основном возвращается в нормальное положение через несколько месяцев после возвращения на Землю, учёным необходимо получить больше информации для обеспечения безопасных условий для более длительных миссий, например, к Марсу. Влияние этих связанных с космическими полетами смещений и деформаций мозга на здоровье и работоспособность человека требует дальнейшего изучения, чтобы проложить путь к более безопасному исследованию космоса человеком.
